Apps Killing in the name of (an icon) Yesterday Instagram released an update to their app which included some UI design changes and a new icon. When I checked out their video [https://www.instagram.com/p/BFRkl11hQV3/], one of the first comments I saw (sorry, I didn't get a screenshot, I was tired and not
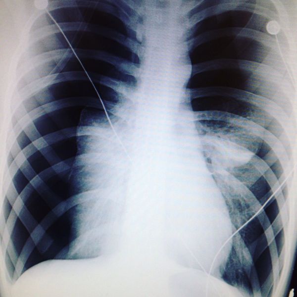
30dwc 3rd October 2004 This is an x-ray of my chest that day. Both my lungs collapsed to a very dangerous level - the small white parts either side of my spine are my lungs, the black space in the rest of the image is the pneumothorax. It really did nearly kill me. Thankfully,
30dwc Back to the conversation I had a really random thought this afternoon about how socialising has changed over the years. Phone calls got replaced with text. Text morphed into tweets, direct messages, status updates and replies. It occurred to me that most of my day-to-day interactions happen through my keyboard. Aside from when I&
30dwc 30 day writing challenge For the last year or so, I've been pretty quiet on the blog front. Aside from Twitter and Instagram, I've been pretty quiet full stop. I've barely written anything, I've barely drawn anything, all the things I've planned to do
Lucky Our son has had a temperature for the last few days. It's been up and down with assistance from the magical concoctions of paracetamol and ibuprofen. Last night, the magic wore off and his temperature just couldn't be controlled by our usual means. Cut a long
Typography Civil War songs I've been re-watching Ken Burns' Civil War series on Netflix this last couple of days and saw these lovely examples of type which appear to be the covers of sheet music. Sorry if the image quality isn't great, these are just screenshots taken on the
podcasts Audio fodder I've been listening to podcasts pretty regularly recently so I figured I'd stick up a short list of my favourites: * Make It Then Tell Everybody [http://makeitthentelleverybody.com/] | Dan Berry interviews comics creators on their processes. Very interesting for comic geeks * Serial [http://serialpodcast.org/] | A
Short Film Short film // Home Sweet Home I have a growing fondness of animated films whose characters are brought to life through normally inanimate objects. This short film is another favourite to add to the list:
Charity Give and Tell challenge The other day my pal Si nominated me [http://sijobling.com/blog/give-and-tell-challenge/] to take part in the give and tell challenge [http://www.ceoblues.com/archive/2014/august/giveandtell], a charitable campaign started as an alternative to the ALS Ice Bicket Challenge. Why the alternative? I'll let
Comics Comic | "New Pal" I'm going to try put out a new strip at least once a week for the foreseeable future. I meant to post this yesterday but the bank holiday got in my way!
Comics Comic |"New (old) discovery" It's Monday morning. If you're feeling a bit down, hopefully this bit of forgetful silliness will make you smile.
iOS Moving back to iOS Last Summer I switched my old iPhone 4S for a Nexus 4. I'd had a Nexus 7 for some months by that point so I was familiar with Android and going by my expreience with the tablet, felt comfortable that the Nexus 4 would be a good fit.
Games The thing about magic We've all seen magic tricks. I even practice magic for a couple of years when I was a teenager. One of my greatest achievements with a deck of cards was figuring out a David Blaine trick (the "2 card monte" trick). I was so pleased with
Art Apes will rise I've been getting itchy fingers recently wanting to do some more artwork. I enjoy working on paper but I want to explore creating images digitally. This is my first proper foray, something done in anticipation of the release of the latest Apes film.
User Experience Sod the users, full screen ads work! As I was scrolling through my twitter feed, I came across a tweet from CreativeBloq sharing an article, which I thought I'd give a quick glance. After a short delay, my entire browser window was taken over by an ad. I brought this up in the office and
Photography A place I want to visit I'm not much of a traveller but I wish I was. Then I could go here...
HuddsDigitals Dance like no-one is watching This post details the slides and content of my short talk given at HuddsDigitals on 26th March 2013. -------------------------------------------------------------------------------- Dancing like no-one is watching is something I try to keep in mind when it comes to creating things which is the focus of this talk. It's also linked
Web Development SVG, Sketch and inset shadows When it comes to SVG, I'm a novice. It's one of those aspects of web development I've had on my list to catch up on and have only just got around to it. Better late than never I suppose. My primary graphics editor has
Grid Systems Create a cross-page grid in Sketch Yup, another post about grids! This time it's less of a mind dump and more of a quick tip I've picked up this afternoon. Earlier this week, Tim [https://twitter.com/timharbour] linked to a Sketch plugin called Symbols [https://github.com/tisho/sketch-plugins/tree/master/
Grid Systems The Guardian grid I've been playing with the Guardian beta site for about a week now. I think it's a much better experience than the current site and the design feels a lot closer to the newspaper (well, what I remember of it, it's been a while
User Experience UX crash course Found a useful resource on my travels through the world of Twitter this afternoon. The author describes the motivation behind the idea: > My New Year’s Resolution for 2014 was to get more people started in User Experience (UX) Design. I posted one lesson every day in January, and
User Experience User Experience is... > User Experience is the responsibility of every member of the organization; it is a central philosophy, shared principles. It is not a series of activities and deliverables to perform, but an enlightened way of being. I found this paragraph of text particularly interesting but the rest of the article
Idea: Browser highlighting Disclaimer: This is very much a mind-dump. I've not spent too much time researching loads of existing services at this point. One of the things I love most about reading ebooks is the ability to highlight passages without spoiling the book. I've encountered printed books with